INFORMACIÓN APORTADA CLINICA REMISORA
Se deriva paciente FIV+ con signos digestivos y sospecha de neoplasia: ecografía abdominal con presencia de masas en riñón y abdomen e hígado alterado ecográficamente.
Analíticamente presentaba leve leucocitosis (linfocitosis) y elevación de GPT (3x valor máximo).
ANAMNESIS
Popeye es un gato CE de 3 años FIV+ que convive con otros gatos. Sus cuidadores refieren vómitos frecuentes, diarrea y apetito disminuido y caprichoso desde hace unas semanas. Comentan que ha perdido en torno a 1kg de peso.
EXPLORACIÓN
A la exploración el presenta una condición corporal de 2.5/9 (Peso 3.5Kg), temperatura 39ºC.
La palpación revela renomegalia y masa en abdomen de difícil localización.
EXAMENES COMPLEMENTARIOS
El hemograma determinó leve leucopenia asociada a neutrofilia y linfopenia. La bioquímica básica reveló hipoproteinemia junto con leve hiperglucemia por estrés como hallazgos más significativos.
Se llevaron a cabo otras pruebas complementarias consistentes en radiografías y ecografía de abdomen.


Las radiografías de abdomen revelaron un aumento de radiodensidad de la silueta renal izquierda como hallazgos más significativos.


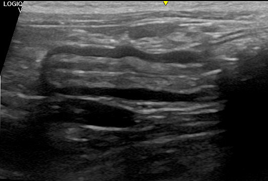
La ecografía abdominal reveló las siguientes alteraciones:
–Riñón izquierdo: presencia de masa en el polo caudal.
–Intestino: aumento de grosor de forma difusa afectando principalmente a capa muscular. Presencia de al menos dos zonas de engrosamiento severo (masas) con pérdida de estructura en capas.
-Ganglios: aumentados de tamaño e hipoecoicos.
-Hígado: hipoecoico con vesicula biliar con pared engrosada e hiperecogenica.
Se lleva a cabo aspirado con aguja fina de las masas encontradas (riñón e intestino), ganglio e hígado.




Los resultados de las citologías de los aspirados ecoguiados revelaron lo siguiente:
-Riñon: Compatible con linfoma de células intermedias-grandes.
-Intestino: Presencia de linfocitos de tamaño medio-grande.
-Hígado: leve degeneración vacuolar lipídica.
-Linfonodo: reactivo.

DIAGNOSTICO
Linfoma digestivo de células intermedias-grandes con metástasis a riñón.
Degeneración vacuolar lipídica en hígado.
TRATAMIENTO
El tratamiento inicial de soporte consistió en el uso de los siguientes fármacos: buprenorfina, mirtazapina, maropitant, metilprednisolona, metronidazol, amoxicilina-ácido clavulánico, junto a dieta intestinal.
Para el linfoma se llevó cabo un protocolo de quimioterapia multifármaco de administración combinando vincristina IV junto con ciclofosfamida y metotrexato oral. Las revisiones se llevan a cabo inicialmente cada semana, posteriormente cada 2-3 semanas y luego mensual (ver protocolo adjunto).

EVOLUCION
En la primera revisión a los 8 días el gato estaba menos apático y había recuperado parte del apetito, no presentando ya vómitos ni diarreas, normalizándose además la serie blanca. Sin embargo el peso había bajado a 3.320Kg.
En la segunda revisión a los 15 días la evolución clínica seguía siendo positiva, recuperando el peso perdido (P=3,520Kg), a pesar de la neutropenia y leucopenia severa que presentaba el paciente (ver hemograma).
En la ecografía abdominal a las 2 semanas de empezar la quimioterapia no se encontraron masas ni en riñón ni en intestino,
estando éste levemente engrosado de forma difusa a nivel de la capa muscular pero manteniendo en todo momento la estructura en capas.
Estos hallazgos ecográficos junto con la evolución del paciente eran signos claros de respuesta a la quimioterapia por parte del gato cuya enfermedad entró en fase de clara remisión.



A partir de entonces se fue espaciando el tratamiento quimioterápico, normalizándose la neutropenia a las 3 semanas de su detección (ver hemograma).
En la última revisión llevada a cabo recientemente a los 5 meses de detectar el problema y comenzar con la quimioterapia, el gato se encuentra asintomático y sigue ganando peso (P=4.150KG, CC 4/9), llevando una vida normal con revisiones mensuales y una quimioterapia de mantenimiento.


COMENTARIOS
-Los gatos positivos a FeLV o FIV tienen un mayor riesgo de desarrollar neoplasias siendo los linfomas los más frecuentes en la especie felina.
-En este caso se postula que la neoplasia a nivel renal sea probablemente metástasis de la digestiva al estar el intestino más afectado y ser la afectación renal aparentemente unilateral.
-No existe factor pronostico conocido que sirva para predecir de antemano la respuesta al tratamiento quimioterápico en linfomas felinos. La respuesta a la quimioterapia es el mejor factor pronóstico. En algunos casos pueden darse tiempos de supervivencia por encima del año o los dos años de vida.
-No existe evidencia científica que demuestre que los gatos positivos a retrovirus respondan peor a la quimioterapia.
-La neutropenia inducida en gatos por agentes citotóxicos es en general bien tolerada por los pacientes felinos.