ANAMNESIS
Acude a consulta de 2ª opinión Luka un gato CE de 8 años había sido sometido a una exodoncia total hacía 4 meses como tratamiento de la Gingivoestomatitis Crónica Felina (GECF) que le fué diagnosticada. Tras dicha cirugía se administró antibioterapia, meloxicam y gabapentina durante los siguientes 10 días.
La cuidadora indicó que el gato no había mejorado tras el tratamiento quirúrgico realizado ya que seguía presentando hiporexia, pérdida de peso, apatía, sialorrea y dificultad a la hora de comer debido al dolor que seguía manifestando. En ese momento el gato había dejado de comer pienso seco y solo comía dieta blanda con dificultad.
EXPLORACIÓN
A la exploración el paciente presenta una condición corporal de 5/9 (Peso 5.4Kg), temperatura 38,3ºC.
En la exploración dental inicial se apreció una severa inflamación de la mucosa oral, expecialmente a nivel maxilar, mandibular y a nivel de la mucosa oral caudal, compatible con Gingivoestomatitis Crónica Felina refractaria.
Una vez realizada la exploración bajo sedación mediante la sonda periodontal se observó abundante sangrado y ulceración de la mucosa oral con presencia de un posible incisivo mandibular.



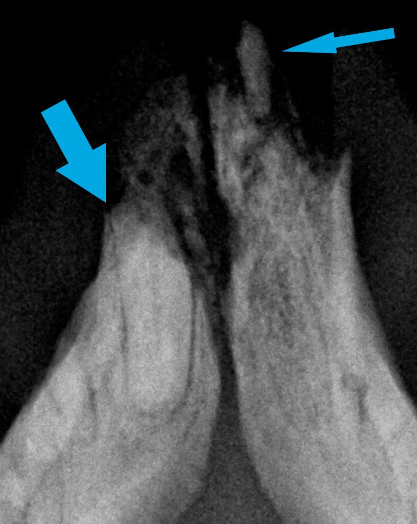
ESTUDIO RADIOLÓGICO DENTAL
El estudio radiológico dental correspondiente desveló la presencia de restos radiculares de los dientes 207 302, 308, 404, 408, 409 (incisivo, premolares y colmillo).




En la analítica prequirúrgica se detectó hiperproteinemia (probable hiperglobulinemia debida a la severa inflamación oral) e hiperglucemia severa (ver analítica).
En los siguientes días se descartó una diabetes asociada mediante valores de glucemia normales y tiras de orina negativas a glucosa por parte del propietario en casa así como un valor normal de la fructosamina en sangre.

DIAGNOSTICO
Gingivoestomatitis Crónica Felina refractaria con presencia de restos radiculares.
Hiperglucemia por estrés
TRATAMIENTO
Se llevó a cabo la exondocia del incisivo y los otros 7 restos radiculares encontrados mediante cirugía de flap gingival y fresado del hueso alveolar de cada diente.
Se colocó además una sonda esofágica de alimentación de cara a garantizar la nutrición adecuada del paciente y facilitar a su cuidadora la administración de la medicación pautada (amoxicilina-clavulánico, meloxicam y buprex vía mucosa oral).

EVOLUCION
A las 24h la cuidadora informó de que el gato estaba en apariencia normal y ya había comenzado a comer por sí mismo. En la revisión llevada a cabo 2 semanas tras la cirugía se confirmó la correcta cicatrización y se quitó la sonda de alimentación ya que el gato comía de nuevo por sí mismo incluso pienso seco manteniendo el peso. Al mes y medio la inflamación se había controlado en gran parte y se comenzó a ir retirando paulatinamente la medicación restante (analgesia y antiinflamatorio).


COMENTARIOS
-El tratamiento de elección en la GEFC es la exodoncia completa. En nuestra experiencia todos los gatos se benefician de una gran mejoría en cuanto a calidad de vida se refiere. En muchos de ellos la inflamación desaparece por completo o casi por completo. En otros casos es necesario una vez realizada la exodoncia, manejar dicha inflamación residual a medio-largo plazo mediante tratamiento médico (analgésicos, AINES, interferón) u otros (terapia con células madre, láser…)
-A día de hoy la GECF se considera una enfermedad multifactorial de origen idiopático. Si bien el calicivirus puede tener un papel relevante en el desarrollo de la enfermedad, centrar el diagnóstico o posible tratamiento en dicho virus no es suficiente para controlar el problema y lograr que el gato mejore.
-Al ser la GECF una enfermedad idiopática de origen inmunomediado es imprescindible que no queden restos radiculares en la cirugía de exodoncias para evitar así el estímulo antigénico que mantenga la inflamación y el dolor en el paciente.
-Dado el escaso tamaño de los dientes del gato, sin la técnica ni el equipamiento adecuado, es relativamente sencillo dejar algún resto radicular (en ocasiones de forma desapercibida). El fresado «a ciegas» de un posible resto radicular, además de que está contraindicado por sus posibles complicaciones asociadas, no soluciona el problema de que queden restos radiculares.
-En este caso la presencia de hiperglucemia severa se pensó que podía estar asociada a una diabetes yatrogénica al ser la GEFC una de las patologías felinas donde con frecuencia se recurre al uso de corticoides (habitualmente depot) de forma en ocasiones no meditada.